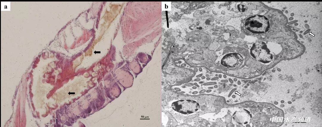
| 中國水產頻道原創報道, 文/圖中國水產科學研究院黃海水產研究所王印庚等 2020年春季,新冠疫情正在全國各地肆虐,對蝦苗種場“玻璃苗”現象也在沿海各地爆發。該現象主要在苗種場和標苗場發生,患病蝦苗表現為活力弱、體色暗濁,肝胰腺輪廓模糊、顏色變蒼白呈淡黃色,組織解體呈玻璃樣病變,空腸空胃,隨之呈現急性死亡,養殖業者稱之為“玻璃苗”。自3月份,該疾病首先在南方苗種場呈現爆發性趨勢,并逐步在北方沿海一帶蔓延,導致我國春季蝦苗供應嚴重不足。同時,投放的劣質蝦苗也導致早期對蝦養成率明顯下降,這勢必對對蝦產量產生重大影響。4月初至6月,中國水產科學研究院黃海水產研究所水產動物藥理及疾病臨床團隊對廣東、福建、浙江、山東、河北、天津等地苗種場進行樣品收集和致病因綜合分析。 01、流行病學調查分析 河北省滄州市坐落于渤海灣腹地,是我國最大的對蝦苗種繁育基地之一,現有苗種場240余家,每年育苗能力約300億尾。本團隊對該地區多家對蝦育苗場開展了流行病學調查分析。調查發現,發生對蝦“玻璃苗”現象的苗種場占該地區的60%以上;大多數苗種場是采購外地蝦苗(廣東、福建、山東等地)經標粗后再次銷售。一般標苗后2~3d即出現玻璃苗現象,隨即24h內蝦苗大部分死亡并排塘處置;甚至部分苗種抵運當天即出現該現象。依據患病程度不同,出現明顯玻璃化癥狀的苗種數量可占個別苗池總數的80%。 為進一步查明該區域對蝦“玻璃苗”的主要致病原,選取了滄州市5個不同區位的苗種場,取患病和健康對蝦及其養殖水體進行病原檢測分析,編號依次為H1、H2、H3、H4、H5(表1)。分別通過病毒檢測試劑盒、弧菌和可培養細菌分離鑒定、石蠟組織切片、超微病理學觀察等手段進行病原及病理學分析。 典型癥狀: 患病蝦苗表現為活力降低、厭食甚至空腸空胃,蝦體消瘦、暗濁;肝胰腺輪廓模糊、組織解體萎縮、顏色變淺呈淡黃色,甚至肝胰腺區由正常的飽滿褐色組織變為空白的玻璃化狀態,進而使得頭胸甲區域甚至腹部呈現瘦小、蒼白、暗濁狀態(圖1)。 圖1,對蝦“玻璃苗”臨床表觀癥狀(空心箭頭為健康蝦苗;實心箭頭為玻璃苗) 養殖系統細菌監測: 通過使用對蝦病原(IHHNV/EHP)熒光定量檢測試劑盒(FRK-307)、桃拉綜合癥病毒(TSV)核酸檢測試劑盒(DHelix)和對蝦白斑綜合征病毒(WSSV)核酸檢測試劑盒(DHelix)進行常見病毒和微孢子蟲攜帶情況分析,發現患有典型“玻璃苗”癥狀的蝦苗均未檢測出上述相關病原的攜帶。 對五家育苗場共計10個單元的養殖水體及其蝦苗肝胰腺組織中可培養細菌和弧菌的數量和種類進行檢測分析,發現育苗水體的可培養細菌總量均在103數量級,弧菌占比高達40.2~97.4%(表1)。通過對不同場區患病蝦苗分離得到的優勢菌株進行分離鑒定表明,5個育苗場內的優勢菌株均為弧菌,其中新喀里多尼亞弧菌、溶藻弧菌的檢出率最高,且優勢度較大;此外包括副溶血弧菌、歐文氏弧菌、塔氏弧菌、錫那羅州弧菌等不同種類的弧菌也被檢出。 經過初步的人工感染試驗表明:新喀里多尼亞弧菌、溶藻弧菌兩種弧菌均對凡納濱對蝦的PL5、PL20仔蝦以及幼蝦有很強的致病性,并可出現自然發病的典型癥狀。藥敏試驗分析表明,上述兩種弧菌對常用的抗生素例如利福平、吡哌酸、鏈霉素、多粘菌素、青霉素、復方新諾明等有明顯的耐藥性。 02、組織病理特征 石蠟組織切片表明,患病對蝦肝胰腺萎縮,肝小管上皮細胞壞死、脫落,肝小管中充斥大量的碎片組織并逐步褐化、黑化。隨著感染程度的加劇,肝小管組織大面積壞死,殘存少量的纖維化細胞基質結構,甚至完全消失,使得肝胰腺組織出現大面積空白區域,呈現玻璃化組織壞死(圖2a)。 超微組織病理檢測表明,患病對蝦肝胰腺和腸道內發現大量細菌,優勢菌株為桿狀菌且呈弧形。肝小管上皮細胞的細胞膜消融,細胞與細胞間界限模糊,細胞器解體,細胞核固化,細胞解體呈碎片并脫落到肝小管內;壞死的組織聚集形成大量的電子密度較高的黑化顆粒。腸道絨毛膜上皮細胞壞死、脫落,僅留下殘存的固有層基質,充斥著大量的組織碎片和細菌顆粒(圖2b);嚴重者,腸道絨毛膜組織大面積脫落,導致腸壁變薄。肌原纖維受損、萎縮,導致肌束間間隙增大,部分組織出現崩解現象。經過多種組織的觀察,未發現病毒粒子的存在。 圖2,對蝦“玻璃苗”病理特征 a:蝦苗HE染色,肝胰腺大面積壞死,呈現玻璃化病變(實心箭頭);b:超微病理觀察,前腸絨毛膜周圍有大量細菌(空心箭頭) 03、“玻璃苗”的防控策略 通過對河北省滄州市五家不同區位苗種場蝦苗的細菌分離鑒定分析,表明新喀里多尼亞弧菌(Vibrio neocaledonicus)和溶藻弧菌(Vibrio alginolyticus)檢出率和優勢度最高;同時,這兩種弧菌均對凡納濱對蝦的PL5、PL20仔蝦以及幼蝦有很強的致病性,并可出現自然發病的典型癥狀;超微病理檢測也未發現病毒粒子的存在,由此排除了滄州地區發生的對蝦“玻璃苗”由病毒感染引起的可能性。綜上所述,初步判定對蝦“玻璃苗”為細菌性感染引發的流行性疾病,命名為“蝦苗細菌性玻化癥”(Shrimp Postlarva Bacterial Vitrified Syndrome,BVS)。 按照細菌性致病原的疾病特性,以生物安保為指導,提出通過選購SPF親蝦、加強苗種檢疫、減少長距離苗種運輸、做到提前預防、高效治療等防控理念,以期實現對BVS的有效防治,其具體措施如下: (1)選購SPF親蝦:通過培育或選購SPF親蝦進行苗種繁育,可有效阻斷病原的垂直傳播途徑,降低苗種對特定病原的攜帶,有助于提高后期標苗和養殖過程中對蝦的成活率。 (2)加強苗種檢疫力度:結合區域內對蝦“玻璃苗”發生情況和苗種溯源調查,嚴格檢測外來苗種特定病原及可培養病原菌的攜帶情況,并在苗種入池前進行病原消殺工作。 (3)減少長距離苗種運輸:苗種長距離運輸不僅會加大苗種應激反應,降低苗種存活率,同時也加快了病原在南北方、不同區域間的傳播速度。通過近距離運輸或繁育本地苗種,不僅加強苗種對本地環境的適應能力,同時降低折損率和運輸成本。 (4)防止病原交叉污染:做好進水、排水系統的管理,避免進水和排水系統的交叉污染;在水質管理上,不僅做到水質達標,更重要的是對有害微生物的嚴格消殺,防止含有病原菌的外源水或池水在不同養殖區域的相互串通;同時,做好養殖器具的消殺和專池專用,以降低病原的交叉性傳染風險。 (5)實現疾病的高效防治:針對特定病原研發專用防治技術手段,在養殖水體中使用過硫酸氫鉀、聚六亞甲基胍等控制池水的細菌總量,并采用專用口服藥物“玻立凈”、“復合抗菌肽”等進行蝦體內有害菌的控制。同時,定期檢測水體和蝦體中有害菌數量,評估蝦體健康狀況和疾病發生風險,及時做到對疾病發生的預警預報和有效防控。 |

| 重點推薦 |
| |
免責聲明:
1、凡本網注明“來源:水產前沿網”的所有作品,均為水產前沿網合法擁有版權或有權使用的作品,未經本網授權不得轉載、摘編或利用其它方式使用上述作品。已經本網授權使用作品的,應在授權范圍內使用,并注明“來源:水產前沿網”。違反上述聲明者,本網將追究其相關法律責任。
2、凡本網注明“來源:XXX(非水產前沿網)”的作品,均轉載自其它媒體,轉載目的在于傳遞更多信息,并不代表本網贊同其觀點和對其真實性負責。
3、如本網轉載涉及版權等問題,請作者在15天內來電或來函與水產前沿網聯系。聯系方式:020-85595682。
